Złap raka

By @hitsug4/11/2018polish

Na szczycie nowotworowej "listy przebojów" trapiących polską populacje znajduje się rak płuca. Odpowiada on za 15% nowotworowych zgonów kobiet i 31% zgonów nowotworowych mężczyzn (Wojciechowska J., Didkowska J., 2012)1. Zdecydowanie wskaźnik zachorowań wśród mężczyzn zmniejsza się wraz z upływem czasu. Nie da się tego samego powiedzieć o populacji kobiet. Główną przyczyną takiego trendu jest wzrost nikotynizmu wśród płci pięknej. Stosunkowo mało nowotworów płuc występuję przed 55 rokiem życia (10%), a szczyt zachorowalności przypada na lata 55-74. Aktualnie w chwili rozpoznania u 50% pacjentów stwierdza się obecność przerzutów, a wskaźnik 5-letniego przeżycia we wszystkich stopniach zaawansowania wynosi 16%. (Kumar V., et al., 2014) Daje to nieziemski pokaz biologicznej destrukcji jaką może poczynić kępka wymykających się spod kontroli komórek.

https://gateway.ipfs.io/ipfs/QmeiPqxfFh1g89r5CoywcvRVUwLy9CMVFCev2q35jnQ14k
###### Ryc. A: [1](https://library.med.utah.edu/WebPath/LUNGHTML/LUNG139.html) - rak płaskonabłonkowy, gdzie z lewej strony preparatu widać perłę keratynową. Natomiast z prawej strony cechy odróżnicowania z figurami podziałów mitotycznych. [2](https://library.med.utah.edu/WebPath/LUNGHTML/LUNG075.html) - rak drobnokomórkowy z uwidocznionym wysokim stopniem anaplazji, co na obrazie manifestuje się jako komórka prawie bez cytoplazmy, ale za to z pozornie dużym jądrem. ###### Diagnostyka nowotworów w fazie bujających objawów klinicznych należy do porażki medycyny. Wpadnięcie na pomysł „*to coś z płucem*”, gdy rak ma 8 cm, a pacjent dusi się nie powinien nastręczyć wielu trudności. Dużo gorzej zorientować się „o czasie”, co dzieje się z pacjentem. Zwłaszcza, gdy proces patologiczny nie jest spektakularny. Najlepszym rozwiązaniem jest uchwycić nowotwór w stadium, w którym prosta lobektomia przekłada się na wyleczenie pacjenta. Jak potoczą się losy pacjenta, jeżeli przeoczymy szanse na takie rozwiązanie?
https://gateway.ipfs.io/ipfs/QmcTs3RpvWJDnG6fgBqVmxiwmpw47L6ZWE2tGJ7MayDjNm
###### Ryc. [B](https://library.med.utah.edu/WebPath/LUNGHTML/LUNG067.html) - patologiczna masa wpuklająca się do prawego oskrzela głównego.

Skutki opieszałości diagnostycznej

Załóżmy, że publiczne placówki opieki medycznej nie miały okazji wychwycić nowotworu na wczesnym etapie. W konsekwencji wykonano bronchofiberoskopię celem pozyskania materiału do badania histopatologicznego. Patomorfolog ustalił podtyp histopatologiczny nowotworu. Dodatkowo na podstawie nacieku nowotworowego na naczynia krwionośne jak i limfatyczne, wysnuł wniosek o możliwości uogólnienia procesu nowotworowego. W celu uwidocznienia przerzutów wykonano scyntygrafię różnych narządów, co ujawniło przerzuty w kościach jak i w wątrobie. Skierowano pacjenta na onkologie, gdzie wdrożono chemioterapię. Całe szczęście uzyskano poprawę stanu klinicznego pacjenta. Jednakże po roku w kontrolnym TK uwidoczniono wznowę. Wdrożono kolejną chemioterapię. Za pomocą środków farmakologicznych uzyskano częściową poprawę.

Problem w tym, że kolejne procedury terapeutyczne od pewnego poziomu zaawansowania choroby nie zmieniają losu statystycznego pacjenta. W dalszych etapach należy prowadzić opiekę hospicyjną do nieuniknionego końca. Koszty leczenia – niebotyczne. Jeden rok chemioterapii to 285 919 - 391 776 PLN (Bujak A., Kałas W., 2008)3. Do tego wszystkiego dochodzi opieka hospicyjna, renta i koszty ponoszone bezpośrednio przez rodzinę pacjenta zarówno te materialne jak i psychologiczne. Na domiar złego np. w 2012 roku odnotowano około 20 820 przypadków raka płuc (Wojciechowska J., Didkowska J., 2012)1.

Pokazanie kosztu leczenia raka płuca ma na celu uzmysłowienie jak bardzo obciążające dla budżetu państwa jest utrzymanie aktualnego procentu zachorowań na ten nowotwór. Mam nadzieje, że nikt nie wyciąga wniosku w stylu „to ich nie leczmy i tak umrą, sami sobie winni, bo palą”, gdyż nie tędy droga. Leczeniem należy objąć wszystkie osoby, które tego chcą. Problem leży w wykrywaniu nowotworów na etapie, gdzie prosta interwencja chirurgiczna pozwoli na usuniecie patologicznej tkanki dając pacjentowi długie, wolne od cierpienia życie.

Cel - zmienia losu pacjenta

Zmiana scenariusza zdarzeń zależna jest od poziomu, na którym wykryjemy nowotwór płuca. Ocena TNM umożliwia przewidywanie jaki jest procent szans 5-letniego przeżycia w zależności od zaawansowania w chwili rozpoznania.

TNM rak płuca.png
###### Ryc. [C](https://journals.viamedica.pl/advances_in_respiratory_medicine/article/view/27702/22445) - odsetek 5-letnich przeżyć dla nowych stopni zaawansowania klinicznego wynosił: IA — 50%, IB — 47%, IIA — 36%, IIB — 26%, IIIA — 19%, IIIB — 7% i IV — 2% [4](https://journals.viamedica.pl/advances_in_respiratory_medicine/article/view/27702/22445) ##### Wykrycie raka płuc w stadium T1 jest możliwe za pomocą Niskodawkowej Tomografii Komputerowej (NDTK) klatki piersiowej. Skuteczność tej metody mieści się w granicach 85-93% (Rzyman W., *et al*., 2018)[5](https://journals.viamedica.pl/advances_in_respiratory_medicine/article/view/ARM.2018.0009). Koszt wykonania badania w ośrodku komercyjnym to około 200 zł. Badanie NDTK przeprowadzane jest bez użycia kontrastu i trwa kilkanaście sekund. Pochłonięte promieniowanie przez ciało pacjenta stanowi 10-30% dawki standardowego TK, co w przybliżeniu odpowiada jednemu zdjęciu RTG KP w projekcji przedniej i bocznej (Rzyman W., 2008)[6](https://journals.viamedica.pl/forum_medycyny_rodzinnej/article/view/10186/8686). Obraz osoby, która powinna zainteresować się w szczególny sposób NDTK płuc to wiek powyżej 55 roku życia z liczbą 20-30 paczkolat.

Obliczono, że aby wykryć jeden nowotwór płuca w populacji wysokiego ryzyka należy wydać około 30 000 PLN (Rzyman W., et al., 2018)5. Dodatkowo trzeba wydać około 2 000 PLN w celu chirurgicznego usunięcia nowotworu. Przepaść między kosztami leczenia wczesnego stadium nowotworu a późnego jest dramatyczna. Warto wdrożyć programy przesiewowe, które pozwolą zwiększyć odsetek osób, u których można wykonać resekcje płata płuca zajętego przez nowotwór. Jest to ważne, gdyż w dłuższej perspektywie czasu będzie można obserwować spadek śmiertelności z powodu raka płuca.

Niewątpliwie wadą NDTK w przesiewie jest możliwość wykrywania zmian, które rakiem nie są. Konsekwencją jest poddanie operacji osobę, która jej w ogóle nie wymaga. Dlatego też opracowywane są kryteria mają ocenić, w którym momencie wkroczyć z chirurgią, tak aby pacjent odniósł największą korzyść. Inne problemy NDTK dotyczą strefy psychicznej potencjalnego pacjenta. Istnieje możliwość, że osoby palce będą mniej zmotywowane do pozbycia się nałogu w przypadku możliwości skutecznego wczesnego wykrycia raka płuca. Kolejnym aspektem jest brak tolerancji względem strategii obserwacji wykrytej niewielkiej masy patologicznej.

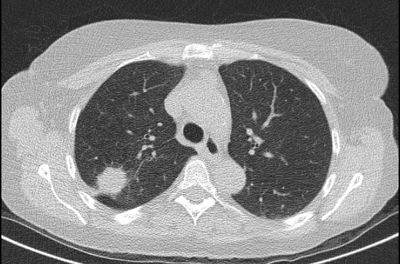
image.png
###### Ryc. [D](http://radiologyassociatesimaging.com/did-you-know-a-patient-education-article-regarding-lung-cancer-cancer-screening/) - fragment badania TK klatki piersiowej, który w oknie płucnym uwidacznia masę patologiczną w górnym płacie płuca prawego. ###### W Polsce odbyły się pilotażowe programy przesiewowe zorganizowane przez nieliczne ośrodki akademickie. Badaniu uczestniczyło 50 000 osób z grupy ryzyka, wśród których wykryto około 500 przypadków raka. Przedstawiciele rządu polskiego nie planują w najbliższym czasie wprowadzanie NDTK jako rutynowego darmowego badania. Istnieje możliwość, że po opublikowaniu wyników randomizowanego badania **NELSON** prowadzonego w Holandii, stanowisko polskiej grupy ekspertów ulegnie wzmocnieniu.

W społeczeństwie pokutuje przekonanie, że jeżeli rutynowe RTG KP nie wykazało zmian to wszystko jest dobrze. Niestety, mija się to z rzeczywistością. Prowadzone w latach 1950-70 badania nad przesiewowym stosowaniem RTG KP nie doprowadziło do obniżenia śmiertelności z powodu nowotworu płuc. Ustalenie braku wskazań do RTG, w ramach screeningu grup wysokiego ryzyka, zostało potwierdzone podczas randomizowanego badania PLCO. RTG nie jest w stanie wykryć wczesnych przedinwazyjnych nowotworów, które łatwo poddają się chirurgicznemu leczeniu.

Mankamentem prywatnego wykonania NDTK klatki piersiowej jest konieczność uzyskania skierowania od lekarza na badanie mimo wykonywania go prywatnie. Dzieje się tak ze względu na kontakt z promieniowaniem jonizującym podczas badania.
41

comments